Dental
-

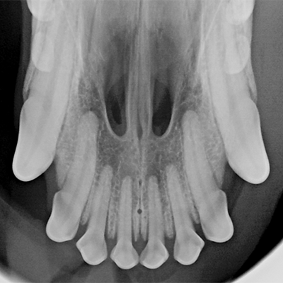
Digital Dental X-Rays
Dental health is a key component of your pet’s overall well-being, and digital dental X-rays are an essential tool for assessing their oral health. At Willow Creek Veterinary Services, our digital dental X-ray system allows us to identify issues below the gum line, such as infections, fractures, or bone loss, that may not be visible during a routine examination. With quick, clear images, we can provide the best treatment options to keep your pet’s smile healthy and bright.
-

IV Fluids for Dental Procedures
During dental procedures, proper hydration and support are crucial for your pet’s safety and comfort. At Willow Creek Veterinary Services, we administer IV fluids to maintain hydration, support circulation, and ensure optimal recovery during and after dental treatments. This extra layer of care helps your pet feel better faster and ensures they remain stable throughout their procedure.
-
Advanced Monitoring Systems for Dental Care
Your pet’s safety and comfort are our top priority during dental procedures. At Willow Creek Veterinary Services, we use advanced monitoring systems to keep a close watch on your pet’s vital signs, including heart rate, oxygen levels, and blood pressure, throughout the procedure. This continuous monitoring ensures that your pet remains stable and well-cared-for during their dental treatment, providing peace of mind for both you and your pet.
-

Pain Control for Dental Procedures
At Willow Creek Veterinary Services, we prioritize your pet's comfort during dental treatments. Our comprehensive pain control protocols include pre-operative medications, local anesthesia, and post-procedure pain management to ensure your pet experiences minimal discomfort. By carefully managing pain throughout the procedure and recovery, we help your pet heal quickly and comfortably, so they can get back to enjoying their daily activities.